近日,昆明医科大学第二附属医院呼吸介入团队成功为一位双肺多发结节的老年男性患者开展医院首例双肺结节同步穿刺术,为患者明确诊断了“韦格纳肉芽肿病”这一罕见病。
该患者因进行性加重的咳嗽、胸闷、气促,辗转多家医院,进行了多次临床检查及肺结节穿刺活检,均未能明确诊断。患者一度焦虑地表示欲前往广州请钟南山院士诊治。柴燕玲教授接诊后,与科室陆霓虹博士等专家进行了讨论,初步怀疑为罕见的血管炎性疾病-韦格纳肉芽肿病(Wegener’s granulomatosis,WG),其确诊依赖肺活检。

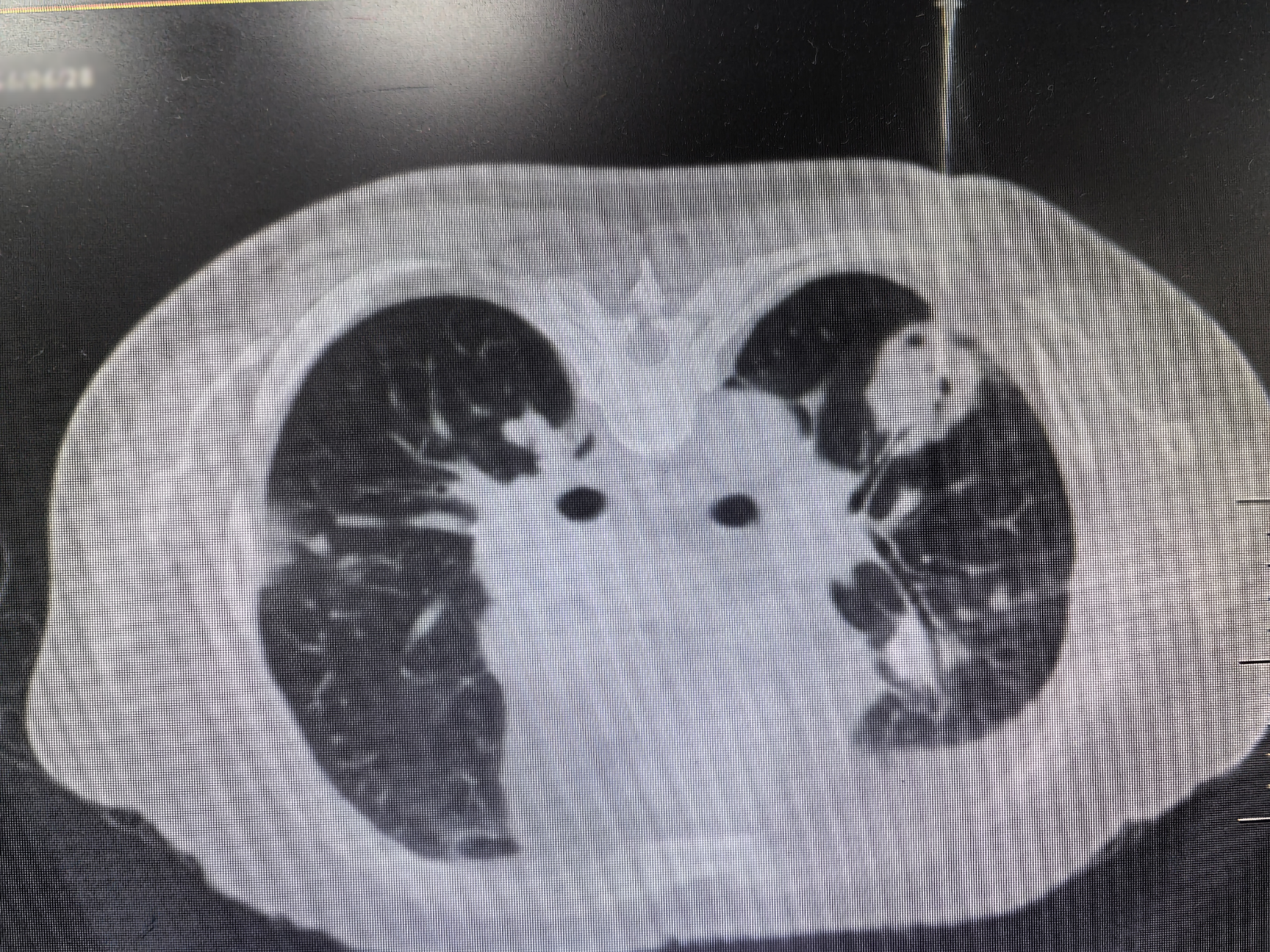
与患者反复沟通病情后,患者最终同意再次进行肺活检。完善术前检查、排除肺活检禁忌证后,在呼吸介入团队医护配合下,陆霓虹博士为患者实施了高难度“双肺结节同步穿刺活检术”。手术仅用时12分钟,顺利获取病变组织,且患者无并发症。病理检查(ROSE)提示肉芽肿性病变,结合血液c-ANCA阳性,最终确诊为“韦格纳肉芽肿病”(WG)。经对症治疗,患者症状显著好转。

韦格纳肉芽肿病(WG)是一种特殊的坏死性肉芽肿性血管炎,病因不明。病变常累及多个器官,病理表现为肉芽肿性病变,伴血管壁炎症。因WG发病率较低,肺部病变常常被误诊为肺部肿瘤或者肺结核。2024年发表的中国肺结节规范化诊疗专家共识指出,双肺多发结节须进行双肺的活检取材,避免结节漏诊及误诊。双肺同步穿刺技术难度较高,对操作医师的熟练程度、操作技术水平均有要求。
此次成功确诊,彰显了昆医大附二院呼吸介入团队在肺结节精准诊断方面的技术实力,也为疑难呼吸系统疾病的诊治提供了新范本。
文图:呼吸与危重症医学科二病区