2026年2月,昆明医科大学第二附属医院呼吸与危重症医学科介入团队,成功为一名高龄高危肺结节患者实施CT引导下精准穿刺活检,在“血管丛林”中完成微创诊疗,明确肺腺癌诊断,为患者后续靶向治疗赢得宝贵时间,彰显了团队在高危肺部病变诊疗中的精湛实力。

患者胸部增强CT
该患者为老年女性,因“反复咳、痰、喘10余年,再发加重10余天”入院,既往有高血压、糖尿病病史,肺功能较差。入院后胸部增强CT显示,其左肺下叶有一大小约2.7×2.0cm的不规则实性结节,增强后不均匀强化,内有肺动脉穿行,Lung-RADS 4X类,恶性可能性极高。常规电子支气管镜检查未能找到恶性肿瘤细胞,而患者及家属因老人高龄、基础病多,拒绝接受外科活检及手术。
经MDT多学科会诊,专家组建议实施CT引导下肺组织穿刺活检,为后续精准治疗提供依据。但该结节周围毗邻胸主动脉和肺动脉,穿刺位置稍有偏离就可能引发大出血,危及患者生命,手术难度与出血风险极高。

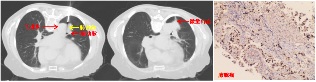
本病例患者肺结节穿刺中(左图)、穿刺后(中图)和病理诊断(右图)
面对诊疗压力与家属的殷切期盼,陆霓虹主任带领呼吸介入团队开展周密术前讨论,反复对患者CT影像进行三维重建和多角度研判,精密测算进针点、角度及深度。同时,针对术中可能出现的咯血、气胸、空气栓塞等并发症,制定了严密的“阶梯式”应急方案。主管医师吴文娟博士及赵思蓉医师用通俗易懂的方式讲解穿刺方案,最终打消了家属的不安与疑虑。
取得患者及家属同意后,陆霓虹主任带领介入团队医生杨嫄、贺晓洁,护士杨红艳、王丽,在CT引导下实施穿刺活检。影像监控下,针尖精准抵达病灶核心,实时测量显示针尖距离主动脉仅4mm,团队迅速完成切割取材,仅出现极少量创面出血,对症处理后患者安返病房,无出血、气胸等并发症。
术后病理确诊为肺腺癌,为患者后续治疗提供了决定性依据。此次技术突破,是科室在高危肺结节诊疗领域的又一跨越。未来,昆医大附二院呼吸与危重症医学科介入团队将持续精进技术、优化诊疗流程,为更多高危肺结节患者提供精准、安全的微创诊疗服务。
科普小知识
肺结节活检:揭开真相的必经之路
当肺结节的恶性概率评估为中高风险(尤其是>65%)时,获取病理组织即“活检”变得至关重要。目前主要的活检手段分为“非手术活检”与“手术活检”(《肺结节诊治中国专家共识(2024年版)》)。非手术活检主要包括经皮肺穿刺活检和各类支气管镜技术,手术活检通常指胸腔镜下手术。
经皮肺穿刺活检即在CT或超声引导下,用细针通过胸壁进入肺内取组织。优点包括创伤极小,局部麻醉下即可完成;尤其适合于外周型肺结节;对于高龄、心肺功能差无法耐受全麻的患者具有极佳的适用性。风险主要包括存在气胸和肺出血的风险;对于靠近大血管的结节操作难度极高。
文图:耳鼻咽喉科 吴文娟 赵思蓉